What happens after you recover from coronavirus and WHY STAY HOME. This website posts goes around family holiday, but according to the new coronavirus situation which the whole global suffers from, this post is a gift to show how serious staying at home safely is.
I am not going to talk about a Quick Guide of coronavirus health care, or anything related to it. Most of us already have a complete picture of coronavirus situation and catching up with the news. This post is a way to protect yourself and your family not just from death but what happens after you recover from coronavirus.
Coronavirus is a disease that might be fatal according to its severity, general health of the patient and the reaction of one’s immune system. BUT its seriousness lies in the type of disability that happens after you recover from coronavirus and did not die.
But this recovery is not complete.
Doctors in Hong Kong have found that people who recover after being infected with coronavirus can be left with a permanent disability of Reduced Lung Function. The illness that accompanies him for the rest of his life. The substantially weakened lung capacity causes a complete change in the quality of a person’s life.
The problem is that many people – especially the youth -are unaware of this, saying death is our destiny!
Yes, death is our destiny, but do you risk your life while you are powerless because you don’t seriously know what you are risking with and what quality of life you may live the rest of your days.
Doctors say…Those Who Recover From Coronavirus Can Be Left With Reduced Lung Function.
Unfortunately, many do not know that if he had been infected with the virus and the virus reached the lung, it either kills him or recovers passing this serious stage, he would not return again to the same healthy condition as before. The quality of life may have been changed forever than that he had before the infection. Usually, recovering after infection with coronavirus, some patient has a drop of lung function ranging between 20-30%, due to a complete destruction of an area.
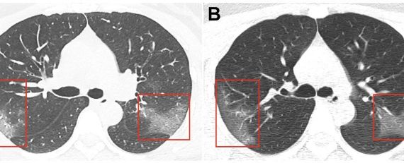
While it’s too early to establish long-term effects of the disease… With scanning a group of 12 current coronavirus, doctors found two to three saw changes in their lung capacity. The CT scans showed white patches similar to “ground glass,” a phenomenon in which fluid builds up in lungs producing patterns similar to frosted glass. The area of the affected lung has been described as ” frosted glass “. this kind of damage was found in all of them. This means that that part of the lung tissues has been completely destroyed and cannot be reused or treated.
Below is an image of the scans which was, taken from one coronavirus patient at different stages, showing the progress of the person’s ” frosted area in the lung ” as his illness progressed.
Owen Tsang Tak-yin, the medical director of the authority’s Infectious Disease Centre, said that; usually, some patients who recover after infection with the coronavirus, the virus leaves the lung with substantially weakened lung capacity ranging between 10-30%. of the normal use of the lungs, because the virus has completely destroyed the affected area.
This means that some people who recover after being infected are left with lower lung capacity. Young men will find themselves unable to keep up with others of their ages and the rest of their partners in their activities. “They gasp if they walk a bit more quickly,”. Practicing their previous life with full pleasure became a far dream, they will always feel tired. Tired because the normal amount of oxygen is less in the lungs due to decrease in its capacity. The lungs have not been fed with enough oxygen carried by the blood because the total area of the functional lung has been decreased.
Can you imagine the quality of life without 30% of the lungs function?
But there is also another very serious possible effect doctor have found for those who have been infected with Covid 19. This may probably be more serious than weakened lung capacity. Very little who had talked about…and this is because it has not been confirmed yet… this is male infertility.
Naturally, if a young man gets infected with the virus, this will affect the quality of his life and future. These previously recovered from Coronavirus whose lives have been destroyed, but also their entire generation will shrink dramatically because this male sterility. Therefore, many youths may feel invincible and are therefore more prone to recklessness pretended of not being afraid of catching this dreaded disease. This is certainly shows their ignorance of the physical disabilities that may accomplish the patient’s life and completely changes it.
It is inconceivable that someone would risk his whole future knowingly and recklessly.




























